「老闆娘,我只是小交通事故,真的不用去醫院啦!」這句許多雇主都聽過的話,差點讓一名員工賠上性命。日前有位老闆娘分享驚險經歷,員工交通事故後多次表示「沒怎樣」,卻被她察覺異常堅持送醫,結果竟檢查出腦出血,連醫生都驚呼:「再晚半小時後果不堪設想!」
這起事件引發上千名雇主共鳴,更揭露職場上最容易被忽略的「隱形工安危機」。

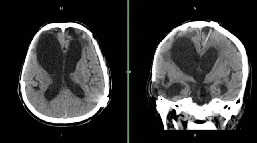
新光醫院急診醫學科醫師解釋,腦傷後常見「清醒期」:
「特別是硬腦膜下出血,患者可能先意識清醒數小時,等血腫擴大才突然惡化。這就是為什麼交通事故後即使當下沒事,也必須觀察72小時。」

警覺重復話語:發現員工反覆說相同話術立即起疑
堅持就醫原則:不管對方怎麼拒絕都堅持送醫
要求完整檢查:不因初步檢查正常就鬆懈

文章未完,點擊下一頁繼續