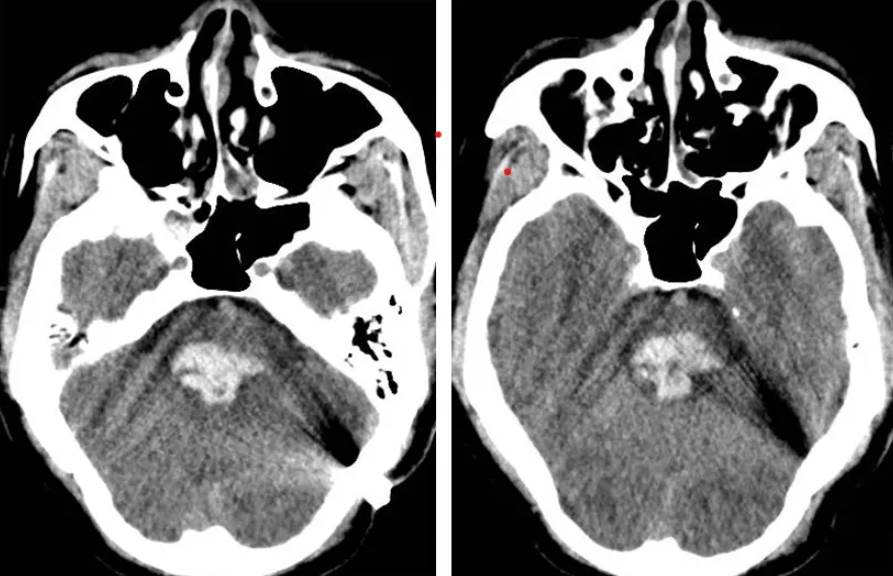
「他前一天還好好的,怎麼一下就走了?」這是一位太太在急救室外最撕心裂肺的哭喊。她的先生年僅35歲,因為腦幹出血,從發病到離開僅僅不到24小時。這樣的悲劇,每天都在醫院上演,而許多人卻對這個隱形殺手一無所知。

腦幹到底是什麼?為什麼一出血就這麼致命?神經外科醫師解釋,腦幹就像人體的「總電源開關」,心跳、呼吸、血壓全由它掌控。一旦出血壓迫,幾分鐘內就會致命,連搶救的時間都沒有。

更可怕的是,腦幹出血前期癥狀不明顯,很容易被忽略。醫師警告,如果出現「劇烈頭痛」(像被雷打到一樣)、莫名暈眩、走路不穩、臉麻口齒不清、視力突然模糊」,千萬別當作小事,這可能是腦幹出血的前兆!
哪些人是高危險群?不只是老年人!醫師點名「高血壓患者」是最危險族群,尤其血壓控制不良的年輕人。加上「熬夜、壓力大、抽菸喝酒」這些現代人通病,更是大大增加風險。最近天氣變化大,溫差超過5度就會讓血管收縮,風險直接飆高。

預防腦幹出血其實有方法:
天天量血壓:超過140/90就要警覺
少吃重鹹:每日鹽分攝取不超過5克
戒菸戒酒:尼古丁和酒精都是血管殺手
避免熬夜:每天睡滿6-7小時是基本
溫差大要保暖:清晨起床先加件外套

醫師最後提醒,如果身邊有人突然倒下,記得「不要隨意移動患者」、「立刻打119」、「記錄發病時間」這三個動作,或許就能搶回一命。健康不是一切,但失去健康就失去一切,分享給你在乎的人,提醒他多關心自己的身體!